Blogs y actualizaciones
Nuestros blogs explican las afecciones de salud y la investigación clínica de una manera fácil de entender, para que los lectores se sientan más informados.
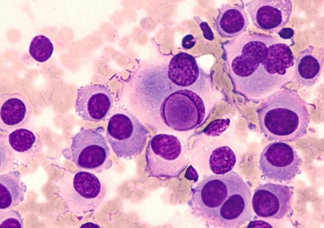
El nuevo medicamento contra la leucemia es más eficaz y fácil de usar.
En FOMAT, los ensayos clínicos de hematología y oncología se encuentran entre las actividades más relevantes que llevamos a cabo, especialmente para los pacientes de edad avanzada, quienes a menudo se enfrentan a opciones terapéuticas limitadas y a una carga significativa de efectos secundarios derivados de la quimioterapia convencional. Estudios como este, publicado en el New England...
Una nueva proteína podría mejorar el tratamiento del cáncer de mama
En FOMAT, la investigación sobre el cáncer de mama es un ámbito con el que estamos profundamente comprometidos, dado el gran impacto que tiene en las mujeres de todas nuestras comunidades de pacientes. El descubrimiento de nuevos mecanismos supresores de tumores, como este de LSU Health, abre nuevas y prometedoras vías para...
El aumento de los precios de los medicamentos está relacionado con los productos más antiguos, no solo con los medicamentos más nuevos y mejores.
No es ningún secreto que los precios de los medicamentos están aumentando, pero ¿en qué medida el aumento de los costos se explica por la llegada de medicamentos nuevos y mejores? Un estudio de la Universidad de Pittsburgh descubrió que los nuevos medicamentos que llegan al mercado sí hacen subir los precios...
Un estudio del NIH relaciona el sistema inmunitario hiperactivo con los trastornos cerebrales relacionados con el envejecimiento
En un estudio con moscas de la fruta, los científicos del NIH sugirieron que el sistema inmunológico del cuerpo podría desempeñar un papel fundamental en el daño causado por los trastornos cerebrales relacionados con el envejecimiento. Los resultados se basan en experimentos en los que los investigadores alteraron la actividad de...
Cortando las vías de escape del melanoma
Según los investigadores, impedir que el melanoma se extienda a otras partes del cuerpo podría ser tan sencillo como cortar el suministro de sangre al cáncer. Científicos del Instituto Diamantina de la Universidad de Queensland han descubierto células madre que forman vasos sanguíneos en...
Día Mundial del SIDA, 1 de diciembre de 2018
En FOMAT seguimos de cerca la investigación sobre el VIH, ya que los avances científicos logrados en este campo han tenido un efecto dominó en toda la investigación sobre enfermedades infecciosas, desde el desarrollo de vacunas hasta las terapias con anticuerpos. La infraestructura de ensayos clínicos creada en torno al VIH ha servido de base directa para...
Un medicamento contra el cáncer podría ayudar a tratar las infecciones por el virus del papiloma humano
Según la Organización Mundial de la Salud, las infecciones por el VPH causaron aproximadamente 266 000 muertes por cáncer de cuello uterino en todo el mundo en 2012. Las pruebas de detección rutinarias mediante citologías vaginales o pruebas de ADN del virus del papiloma humano han reducido las tasas de mortalidad en los países desarrollados en comparación con los menos desarrollados...
Posible tratamiento para el cáncer infantil común de tejidos blandos
Los científicos han desarrollado un nuevo enfoque terapéutico potencial para el sarcoma sinovial, uno de los cánceres de tejidos blandos más comunes en adolescentes y adultos jóvenes. En la actualidad, las tasas de supervivencia a largo plazo de los pacientes con sarcoma sinovial están muy por debajo del 50 %, un hecho que...
La FDA aprueba el primer tratamiento específico para pacientes con una enfermedad inmunológica rara
La FDA ha aprobado Gamifant (emapalumab) de Novimmune SA para el tratamiento de pacientes pediátricos (recién nacidos y mayores) y adultos con linfohistiocitosis hemofagocítica primaria (HLH) que padecen una enfermedad refractaria, recurrente o progresiva, o que presentan intolerancia al tratamiento convencional de la HLH. Esta aprobación de la FDA es...
¡Las principales organizaciones de investigación clínica de un vistazo!
La investigación clínica sería mucho más difícil sin la ayuda de las organizaciones de investigación clínica (CRO). Estas empresas del sector farmacéutico no solo ayudan a las empresas farmacéuticas, sino también a las empresas del sector biotecnológico y de dispositivos médicos. Algunas...
Estudio de fase III para la vacuna contra el chikungunya tras superar la prueba intermedia.
La vacuna contra el chikungunya, conocida como MV-CHIK, alcanzó su objetivo principal en la fase 2 de los ensayos clínicos, y Themis ahora tiene la vista puesta en pasar a la fase 3. La empresa basó su vacuna contra el chikungunya en su plataforma vectorial contra el sarampión, con licencia del Instituto Pasteur. En el...
Los investigadores utilizan la genética para predecir la respuesta a los medicamentos antipsicóticos.
En FOMAT, la investigación sobre el sistema nervioso central y la psiquiatría son áreas en las que la medicina personalizada puede tener un impacto transformador en los resultados de los pacientes. La esquizofrenia afecta de manera desproporcionada a las comunidades desfavorecidas, que a menudo se enfrentan a las mayores barreras para acceder a una atención psiquiátrica constante, lo que hace que investigaciones como esta sean especialmente relevantes...











